Dr.
Vicente Gandía Aguiló
Dentista
·
Dentista infantil
Ver más
Inca 1 dirección
Núm. Colegiado: 07001288
12 opinionesExperiencia
Especialista en ortodoncia invisible infantil.
Especialista en tratamiento multidisciplinares.
Rehabilitaciones orales completas.
Especialista en:
- Ortodoncia
- Ortodoncia invisible
- Atm y oclusión
- Implantología
Principales enfermedades tratadas
- Dientes desalineados
- Patología De La Erupción Dental
- Sobremordida
- Bruxismo
- Periodontitis
- +16 a11y_sr_more_diseases
Pacientes que atiendo
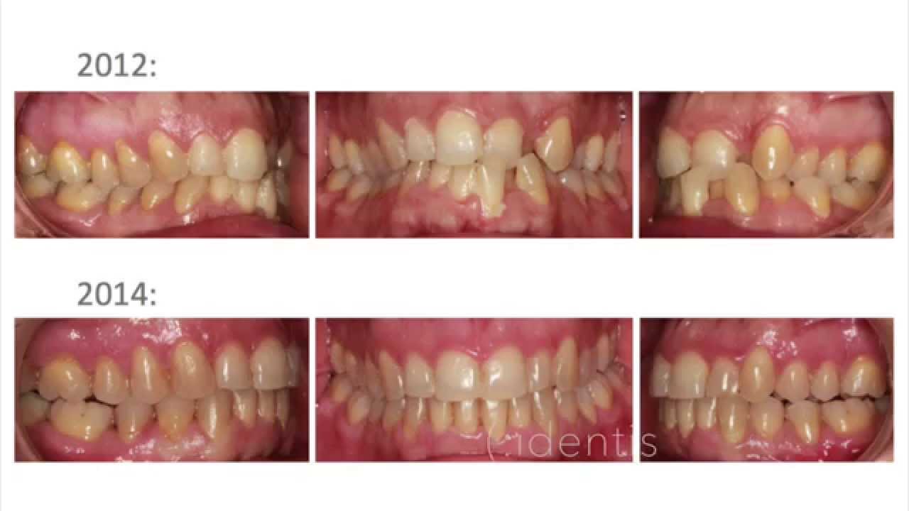
Fotos y vídeos
No se aceptan aseguradoras
Este especialista solo acepta pacientes privados. Puedes pagar la cita de forma privada, o buscar otro especialista que acepte tu aseguradora.
Consultas (2)
Plaza de la Llibertat nº4 - 1º, Inca 07300
Disponibilidad
Número de teléfono
Consulta online
Pago después de la consulta
Consulta online
Pago después de la consulta
Disponibilidad
Número de teléfono
Servicios y precios
-
Consulta online
-
-
Primera visita Odontología
-
-
Ortodoncia Invisalign
Desde 4.000 € -
-
Gingivoplastia
-
-
Implantes dentales
-
-
-
-
-
-
-
-
-
-
-
-
-
-
-
-
-
-
-
-
-
-
-
-
-
-
-
-
-
-
-
-
-
-
-
-
-
-
-
-
-
-
Opiniones
12 opiniones
-
J
J,O
Correcto y eficaz,,,puntal,,,, agradable... ,,,,,,...
• Clinica Dental Crespi Gandia • Primera visita Odontología •
-
C
Cristina
La visita ha sido genial, personal super profesional y trato excepcional. Seguiré haciéndome tratamientos con ellos.
• Clinica Dental Crespi Gandia • Primera visita Odontología •
-
J
Jaime vicens
Super profesionales. Explicaciones muy detalladas. Sin ninguna prisa y probando todo para ver con detalle los problemas y buscar soluciones diversas.
• Clinica Dental Crespi Gandia • Primera visita Odontología •
-
S
Susana
A pesar de no haber podido contactar inicialmente con ellos a través de videollamada por wasap, posteriormente el Dr. Gandía me ha llamado . La atención ha sido estupenda, me ha realizado bastantes preguntas para recopilar información sobre la molestia que le he comentado. El tiempo de la llamada más que razonable.
• Consulta Online Ortodoncia implantes • Consulta online •
-
M
Mariana GR
Me estoy haciendo el tratamiento de Invisalign con ellos, y eso que vivo en Londres!
El Dr Gandía y todo el equipo son encantadores y muy profesionales. Lo recomiendo muchísimo.• Clinica Dental Crespi Gandia • Ortodoncia Invisalign •
-
M
Marián Marin
Excelente trato y profesionalidad. Infunden confianza y los resultados son los esperados. Los recomiendo.
• Consulta Online Ortodoncia implantes • Consulta online •
-
A
A.G.
Seguridad y confianza a la hora de abordar mi caso, creo que no puedo estar en mejores manos para mi tratamiento de Invisalign
• Clinica Dental Crespi Gandia • Primera visita Odontología •
-
S
S.R
Fui para una urgencia. Nunca me gusto mucho ir al dentista, pero la verdad que en esta clínica me trataron fenomenal como en casa, fueron rápidos, eficientes, precio perfecto sin sobresaltos (lo cual se agradece en un dentista) y me dio muy buenas energías. Recomendable 100%.
• Clinica Dental Crespi Gandia • Endodoncia •
-
E
Eduardo Fons
La experiencia en la clínica fue muy positiva. Fui para que me implantaran la ortodoncia invisible Invisalign y un blanqueamiento dental al final del proceso. El resultado fue muy bueno. Lo que más me satisfizo fue la familiaridad y cercanía de todo el personal. Las expectativas que tenía por las recomendaciones de mis allegados quedaron cumplidas con creces. La recomiendo encarecidamente.
• Clinica Dental Crespi Gandia • Ortodoncia invisible •
-
M
Mohamed bargach
Esta muy bien clinica la verdad y los doctores tambien perfectamente y los materalista y radios tambien todo es muy perfecto
• Clinica Dental Crespi Gandia • Primera visita Odontología •
Dudas solucionadas
5 dudas solucionadas a pacientes en Doctoralia
Tengo apnea del sueño, ¿Puede afectarme tomar Trankimazin?
Hola. Si que puede afectarle tomar Trankimazin.
Los ansiolíticos son relajantes musculares.
Si durante el sueño los músculos de la faringe se relajan, el músculo relajado cae y obstruye el canal por donde pasa el aire, es decir las vías aéreas. Al estrecharse este caudal, la vibración que se produce es el ronquido.
Con un dispositivo de avance mandibular, se ensancha dicho caudal y el aire fluye mejor.
También hay que considerar otras causas como:sobrepeso, tabaco, dormir boca arriba, alcohol, cenar comidas pesadas...
Aun durmiendo entre 7 y 8 horas, me levanto muy cansada siempre con dolor de cabeza. Mi marido dice que ronco muy fuerte y en ocasiones parece que no respiro, puede ser algún trastorno del sueño?
Si, por lo que cuenta, puede ser un sindrome de apnea del sueño.
Durante el sueño, los músculos de la faringe se relajan. El músculo relajado puede caer y obstruir el canal por donde pasa el aire, esta obstrucción puede favorecer los ronquídos. Al llegar menos aire a los pulmones se produce una desoxigenación sanguínea y cerebral. Esto puede crear una apnea durante el sueño y ocasionar cansancio y somnolencia durante el día, ronquídos intensos, jadeos o ahogos al dormir, pausas sucesivas en la respiración al dormir.
Uno de los posibles tratamientos del síndrome de la apnea del sueño es con un dispositivo de avance mandibular
Todos los contenidos publicados en Doctoralia, especialmente preguntas y respuestas, son de carácter informativo y en ningún caso deben considerarse un sustituto de un asesoramiento médico.
Preguntas frecuentes
-
¿Cuáles son las principales especialidades de Vicente Gandía Aguiló?Vicente Gandía Aguiló es dentista, dentista infantil. Te mostramos algunos de los servicios que ofrece gracias a su trayectoria y amplia experiencia: Apicectomía, Blanqueamiento dental, Carillas de composite, Anestesia dental, Carillas de porcelana, Cirugía de quistes dentarios, Cirugía de frenillo lingual, Cirugía periodontal, Cirugía preprotésica, Carillas Lumineers.
-
¿Dónde está la consulta de Vicente Gandía Aguiló?Vicente Gandía Aguiló atiende a sus pacientes en:
- Plaza de la Llibertat nº4 - 1º Inca
-
¿Puedo hacer la visita con Vicente Gandía Aguiló de forma online, sin tener que desplazarme hasta su consulta?Sí, Vicente Gandía Aguiló ofrece consulta de forma remota. Solo tienes que seleccionar "consulta online" cuando vayas a reservar cita desde el calendario, y así podrás ver las fechas y horas disponibles.
-
¿Cómo se realiza el pago a Vicente Gandía Aguiló al finalizar la visita?Vicente Gandía Aguiló acepta los siguientes métodos de pago: Efectivo, Tarjeta de crédito, Transferencia bancaria.
-
¿Qué idiomas habla Vicente Gandía Aguiló?Puedes comunicarte con Vicente Gandía Aguiló en Inglés, Español, Valenciano, Catalán, Italiano, Francés.
-
¿Cómo puedo reservar una cita con Vicente Gandía Aguiló?El calendario que muestra Vicente Gandía Aguiló en Doctoralia está actualizado en tiempo real, por lo que solo tienes que elegir qué día y hora te va mejor de entre las disponibles. La reserva es gratuita, y además recibes un recordatorio antes de la visita.
-
¿Para cuándo podría visitarme con Vicente Gandía Aguiló?A veces Vicente Gandía Aguiló tiene algunas horas disponibles dentro de la misma semana o para la siguiente. Consulta su calendario: verás la primera hora que tiene disponible, ya que se actualiza en tiempo real. Si no te va bien esa primera hora, comprueba otros días. La reserva siempre es inmediata y gratuita.
-
¿Qué opinan los pacientes de Vicente Gandía Aguiló?Un total de 12 pacientes han querido dejar una opinión sincera y real sobre Vicente Gandía Aguiló, otorgándole además una valoración media de 4.5 estrellas (sobre un máximo de 5).
-
¿Qué aseguradoras acepta Vicente Gandía Aguiló?Te mostramos algunas de las aseguradoras que acepta Vicente Gandía Aguiló: Adeslas. Comprueba el listado completo de las aseguradoras que acepta para ver si también incluye la tuya.