Radiografía de pie
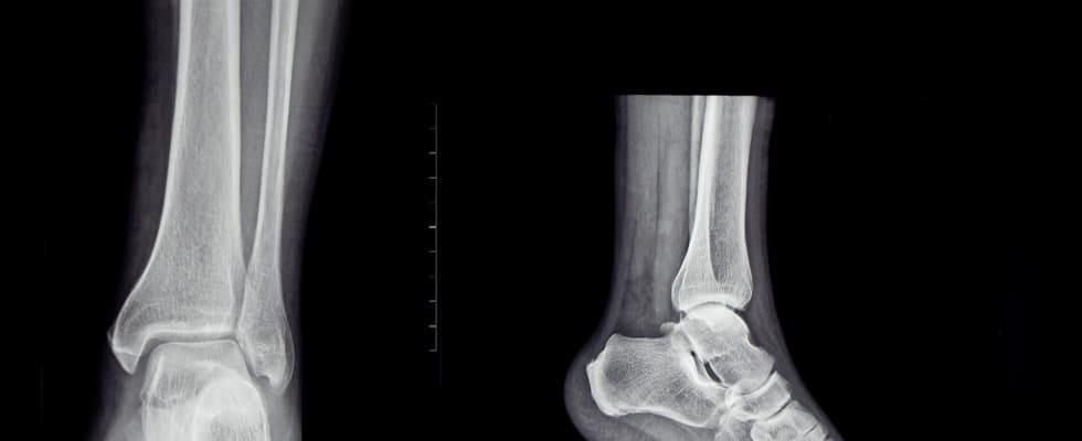
La radiografía de pie es una técnica de diagnóstico por imagen que utiliza rayos X para obtener imágenes detalladas de los huesos y estructuras internas del pie. Este procedimiento es fundamental para identificar fracturas, deformidades, infecciones, artritis y otras condiciones que afectan la salud del pie. Al proporcionar una visión clara y precisa de la anatomía del pie, la radiografía permite a los profesionales de la salud realizar diagnósticos exactos y planificar tratamientos adecuados, mejorando así la calidad de vida del paciente.
¿Para qué se utiliza la radiografía de pie?
Se utiliza para diagnosticar y evaluar diversas afecciones y lesiones en el pie y el tobillo. Este procedimiento permite identificar fracturas, esguinces, dislocaciones, infecciones, artritis y otras patologías óseas. Además, se emplea para detectar anomalías estructurales, como espolones óseos o deformidades congénitas. La radiografía de pie también es útil para planificar tratamientos quirúrgicos y monitorizar la recuperación postoperatoria. Gracias a su capacidad para proporcionar imágenes detalladas de los huesos y las articulaciones, se considera una herramienta esencial en la práctica médica ortopédica y podológica.
¿Cómo funciona la radiografía de pie?
Se realiza utilizando una máquina de rayos X que emite una pequeña cantidad de radiación para capturar imágenes detalladas de los huesos y tejidos del pie. Durante el procedimiento, el paciente se coloca de pie o se sienta, y el pie se posiciona en diferentes ángulos para obtener las vistas necesarias. El técnico de radiología ajusta la máquina y toma las imágenes, las cuales son luego revisadas por un radiólogo. Este especialista interpreta las radiografías para identificar fracturas, deformidades, infecciones u otras condiciones médicas que puedan afectar el pie.
¿Cuánto tiempo dura una radiografía de pie?
Suele llevar entre 10 y 15 minutos. Este tiempo incluye la preparación del paciente, la colocación correcta del pie en la posición requerida y la toma de las imágenes radiográficas. En algunos casos, puede ser necesario repetir alguna imagen para asegurar la calidad y precisión del diagnóstico. Una vez finalizada la radiografía, las imágenes se envían al radiólogo para su análisis, lo cual puede llevar un tiempo adicional dependiendo de la carga de trabajo del centro radiológico.
¿Cómo prepararse para la radiografía de pie?
Para una radiografía de este tipo, no se requiere una preparación especial. Sin embargo, se recomienda llevar ropa cómoda y fácil de quitar, ya que puede ser necesario remover cualquier objeto metálico que interfiera con la imagen, como joyas o relojes. Se aconseja informar al técnico radiológico sobre cualquier condición médica relevante, como embarazo o alergias a ciertos materiales. En algunos casos, se puede solicitar que el paciente permanezca en ayunas, aunque esto es poco común. Es importante seguir las instrucciones específicas proporcionadas por el centro de salud para asegurar una imagen clara y precisa.
Preguntas frecuentes
-
¿Cuáles son las indicaciones médicas para realizar una radiografía de pie?
Las indicaciones médicas incluyen la evaluación de fracturas, esguinces, luxaciones y deformidades óseas. También se utiliza para diagnosticar enfermedades articulares como la artritis, detectar infecciones óseas, evaluar el progreso de la curación ósea y planificar procedimientos quirúrgicos. Además, se recomienda en casos de dolor persistente, hinchazón inexplicada o traumatismos recientes en el pie.
-
¿Qué tipo de lesiones o enfermedades se pueden detectar con una radiografía de pie?
Se pueden detectar diversas lesiones y enfermedades, tales como fracturas óseas, esguinces, artritis, infecciones óseas (osteomielitis), deformidades estructurales como juanetes y espolones calcáneos, así como tumores óseos. Además, se pueden identificar problemas en las articulaciones y tejidos blandos, permitiendo un diagnóstico preciso y un tratamiento adecuado.
-
¿Existen riesgos o efectos secundarios asociados con la radiografía de pie?
La radiografía de pie es un procedimiento seguro y comúnmente utilizado en la práctica médica. Los riesgos asociados son mínimos debido a la baja dosis de radiación utilizada. Sin embargo, se recomienda evitar la exposición innecesaria, especialmente en mujeres embarazadas, para proteger al feto. No suelen presentarse efectos secundarios inmediatos tras la realización de la radiografía. En caso de dudas o preocupaciones, se aconseja consultar con el médico responsable del tratamiento.
-
¿Es necesario quitarse los zapatos y calcetines para una radiografía de pie?
Sí, es necesario quitarse los zapatos y calcetines para una radiografía de pie. Esto se debe a que cualquier material, como el tejido de los calcetines o el calzado, puede interferir con la claridad de las imágenes radiográficas. Para obtener una imagen precisa y detallada del pie, se requiere que la piel esté libre de obstrucciones. Además, se recomienda retirar cualquier objeto metálico, como joyas o piercings, que pueda estar en la zona a examinar.
-
¿Cuándo se recomienda realizar una radiografía de pie?
Se recomienda realizar una radiografía de pie cuando se sospecha de fracturas, esguinces, infecciones, deformidades óseas o artritis en el pie. También se utiliza para evaluar el progreso de una lesión o enfermedad ya diagnosticada y para planificar tratamientos quirúrgicos. En casos de dolor persistente sin causa aparente, una radiografía puede ayudar a identificar problemas subyacentes.
-
¿Qué se debe hacer después de realizarse una radiografía de pie?
Se recomienda seguir las indicaciones del médico. Generalmente, no se requieren cuidados especiales, pero es importante esperar a que el especialista interprete las imágenes para determinar el diagnóstico y el tratamiento adecuado. Si se experimenta algún malestar o reacción inusual, se debe informar al médico de inmediato. Además, se aconseja mantener la zona afectada en reposo si se ha indicado, y seguir cualquier recomendación adicional proporcionada por el profesional de salud.
-
¿Qué diferencia hay entre una radiografía de pie y otros tipos de estudios de imagen?
La principal diferencia entre una radiografía de pie y otros tipos de estudios de imagen, como la resonancia magnética o la tomografía computarizada, radica en la técnica y el tipo de información obtenida. La radiografía utiliza rayos X para capturar imágenes de los huesos y articulaciones del pie, proporcionando detalles sobre fracturas, deformidades y enfermedades óseas. En cambio, la resonancia magnética y la tomografía computarizada ofrecen imágenes más detalladas de tejidos blandos, músculos y ligamentos, utilizando diferentes tecnologías y métodos de captura. Cada estudio se elige según las necesidades específicas del diagnóstico médico.
La publicación del presente artículo en el Sitio Web de Doctoralia se hace bajo autorización expresa por parte del autor. Todos los contenidos del sitio web se encuentran debidamente protegidos por la normativa de propiedad intelectual e industrial.
El Sitio Web de Doctoralia Internet S.L. no contiene consejos médicos. El contenido de esta página y de los textos, gráficos, imágenes y otro material han sido creados únicamente con propósitos informativos, y no para sustituir consejos, diagnósticos o tratamientos médicos. Ante cualquier duda con respecto a un problema médico consulta con un especialista.