Dra. Carmen Anzalone

Dentista · Ver más sobre las especializaciones

San Juan del Puerto 3 direcciones

Núm. Colegiado: 28014775

104 opiniones
Tiempo de respuesta aproximado:

Experiencia

En la Clínica Dental Infinity y en el Centro Médico Cavanilles somos expertos en ortodoncia.

Contamos con grandes avances y tecnologías que nos permiten planificar tratamientos ortodónticos de máxima calidad.
Como objetivo final nos proponemos dotar de estética y funcionalidad tu sonrisa, sin olvidarnos de ofrecerte un trato cercano y amable.

Al frente del departamento de ortodoncia y ortopedia dentofacial de Infinity Dental y del Centro Médico Cavanilles, está la Dra. Carmen Anzalone. La experiencia en su especialidad la convierte en una de las ortodoncistas más prometedoras del momento. Son muchos los pacientes que han recuperado sus sonrisas a manos de la Dra. Anzalone.

El éxito de cada tratamiento se basa en la planificación, el estudio, la experiencia y la constante formación en un campo que alberga cambios y novedades constantemente.
ver más Sobre mí

Especialista en:

  • Ortodoncia
  • Ortodoncia invisible
  • Ortopedia dentofacial
  • Ortodoncia quirúrgica

Pacientes que atiendo

Adultos
Niños

Tipos de consulta

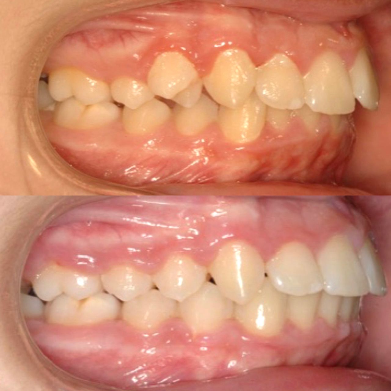
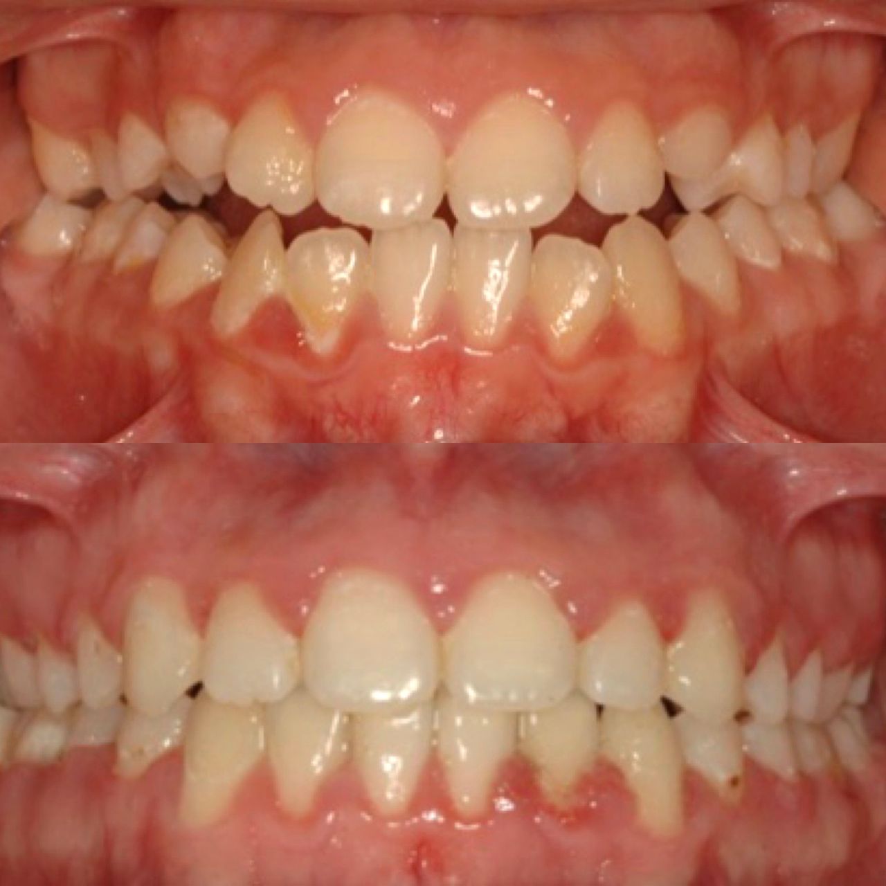
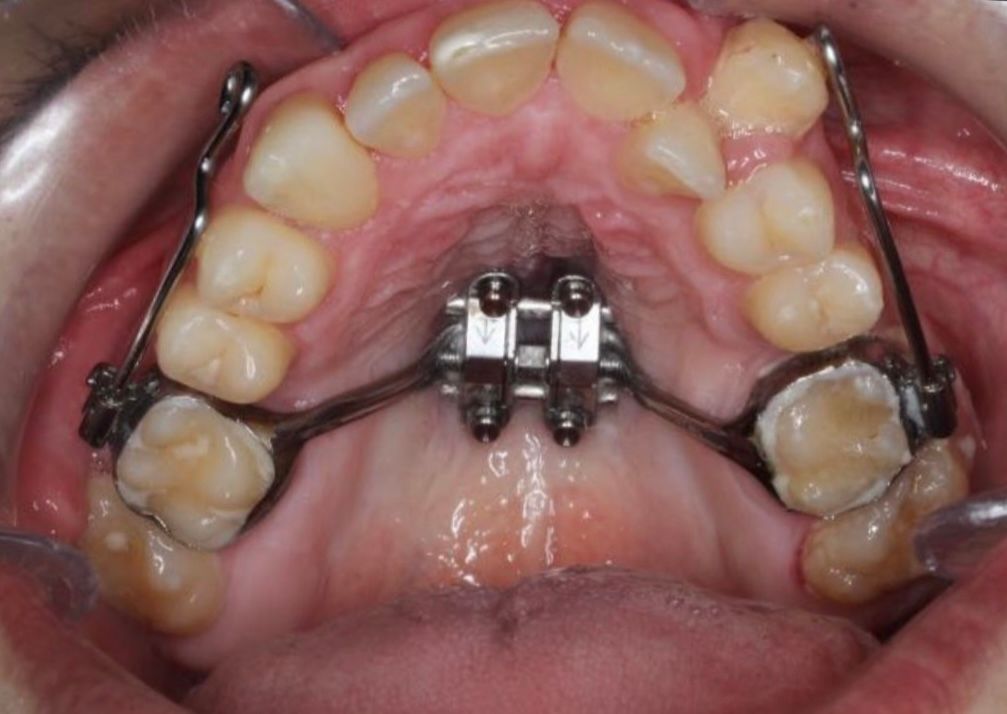
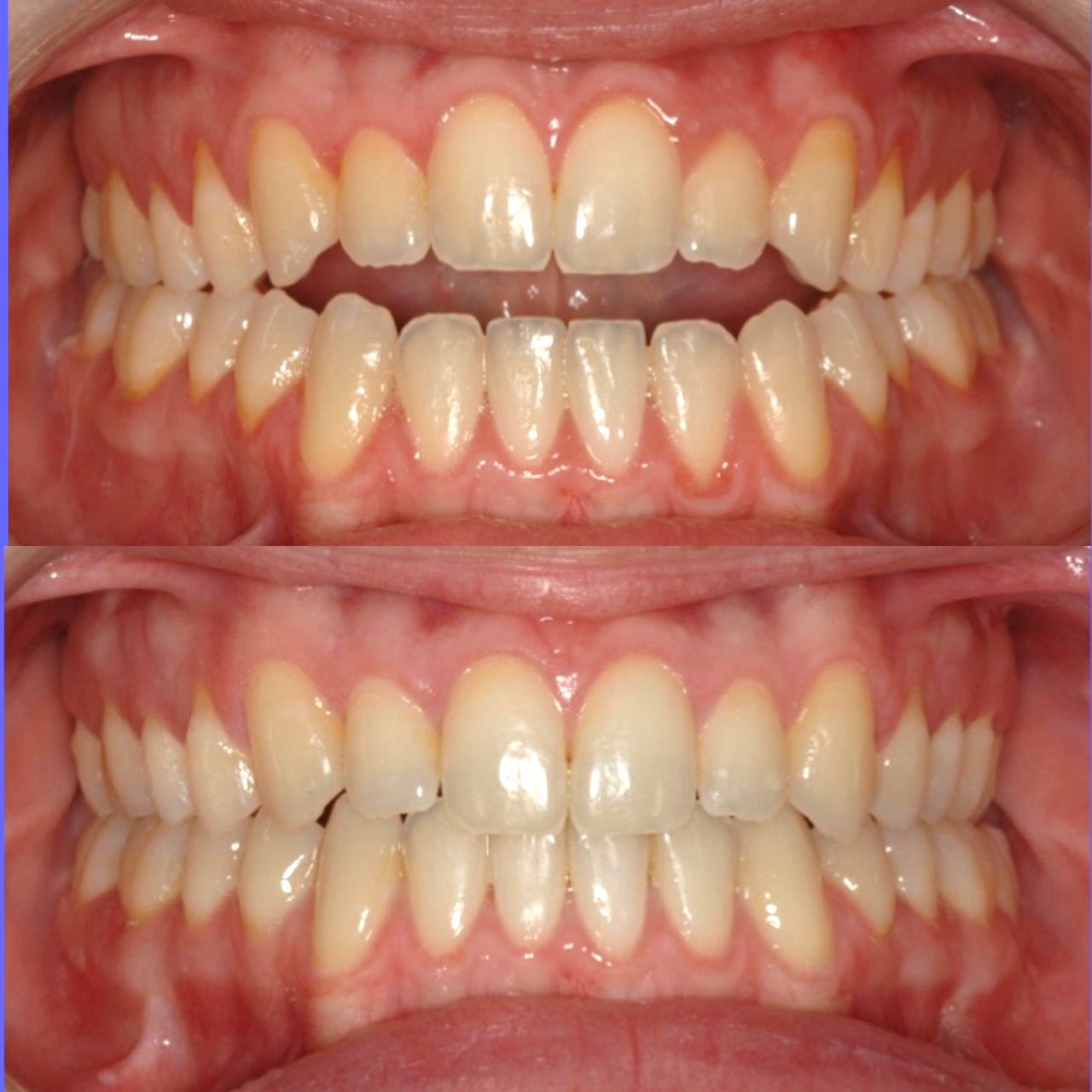
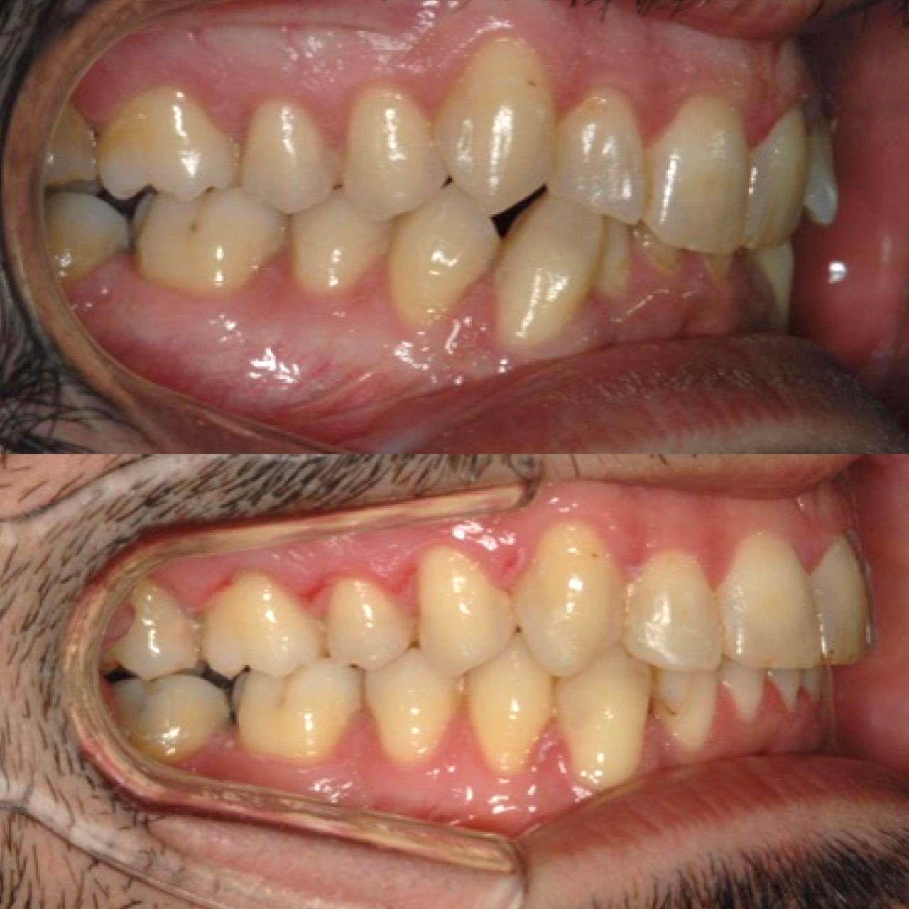
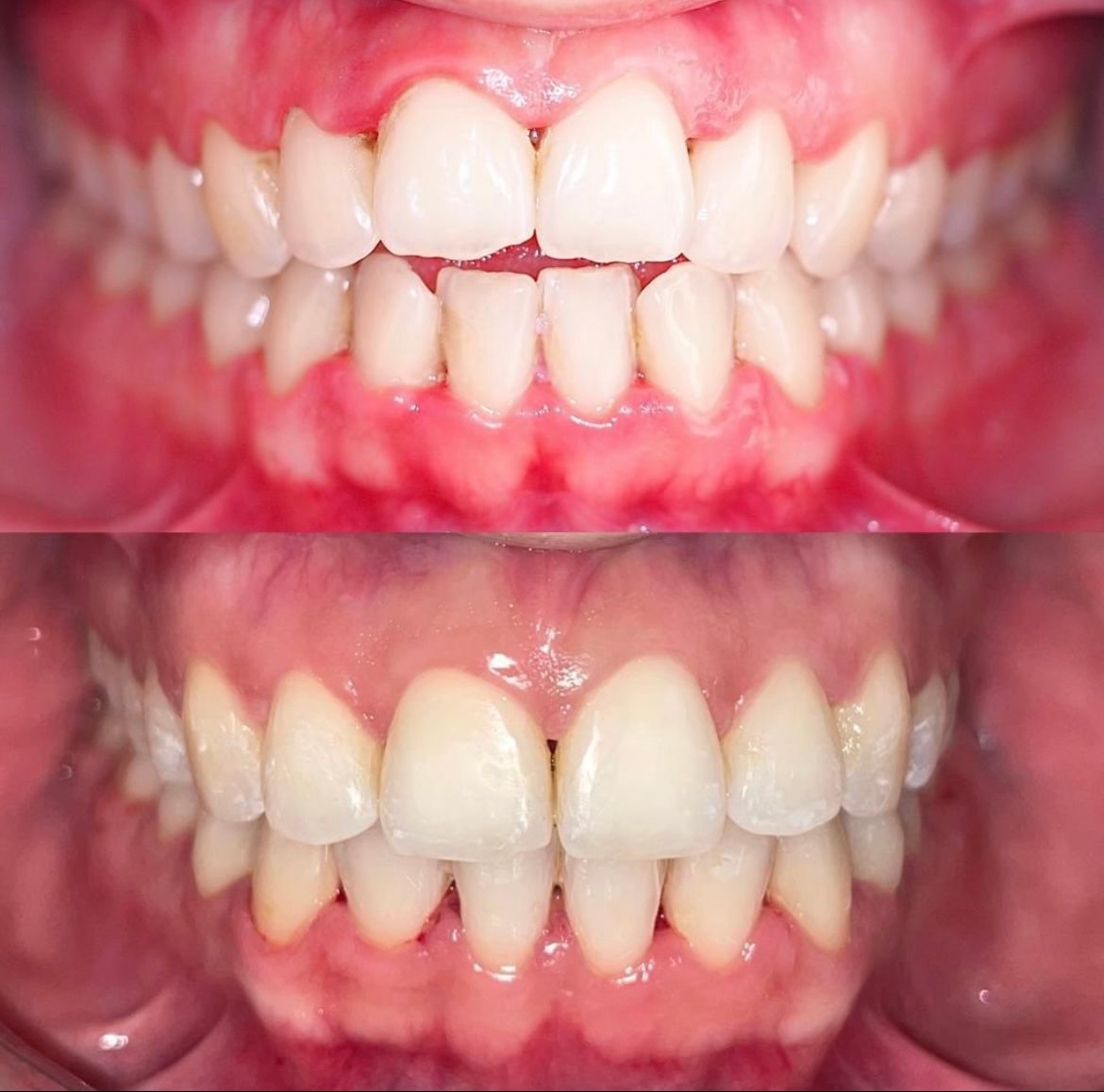
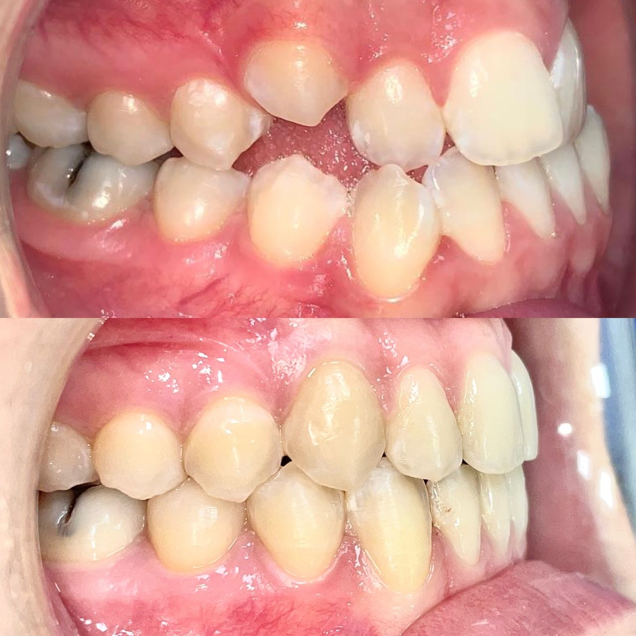
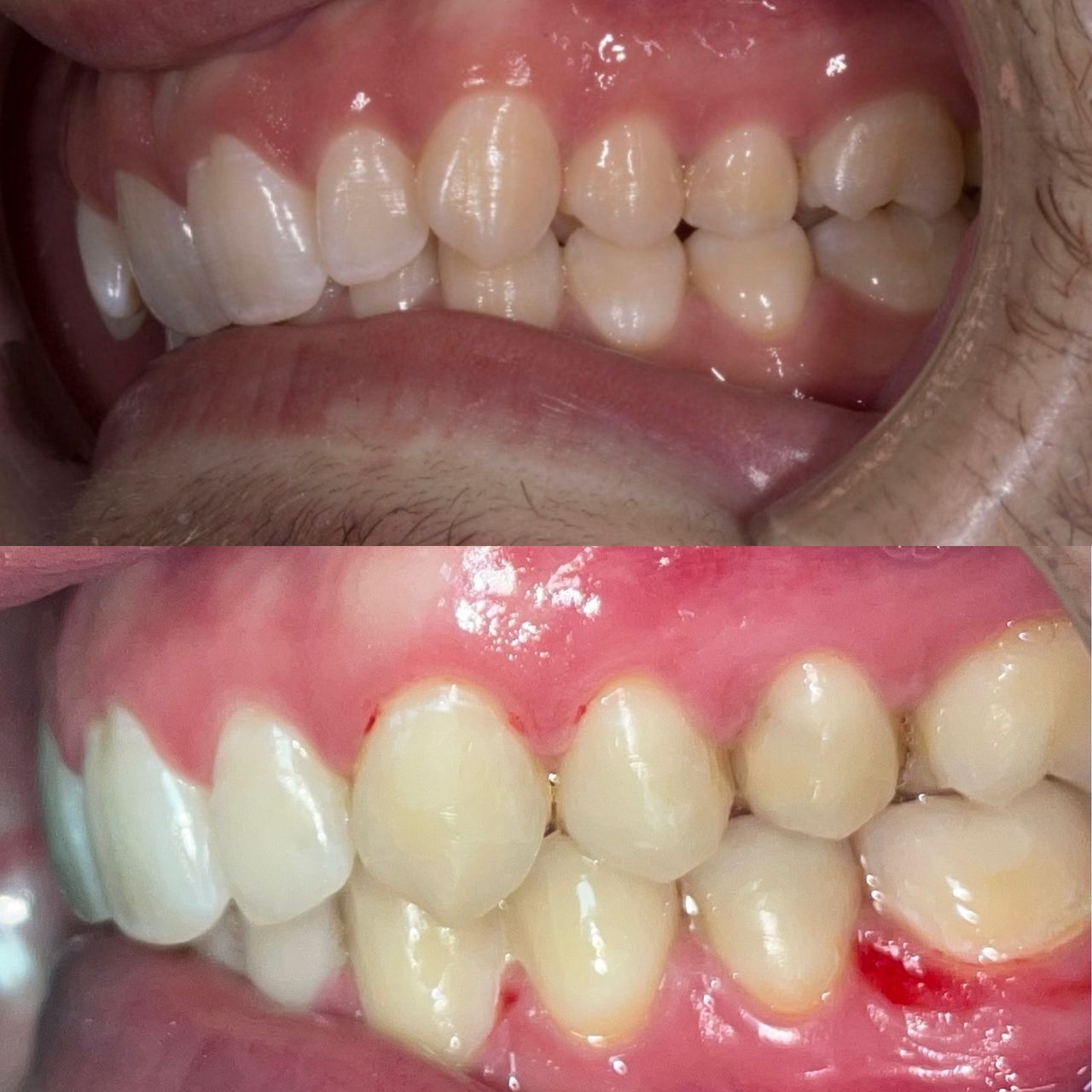
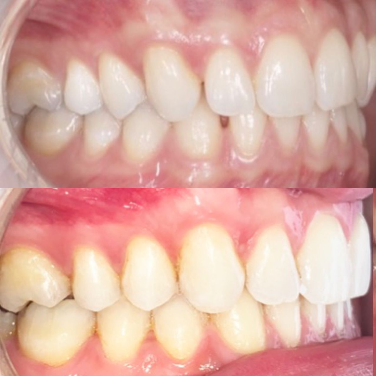
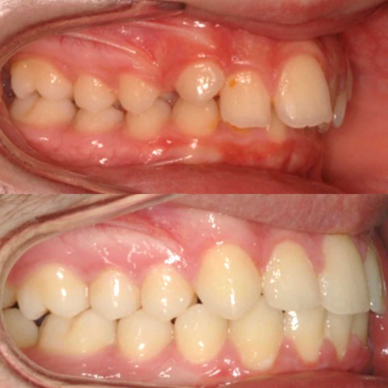
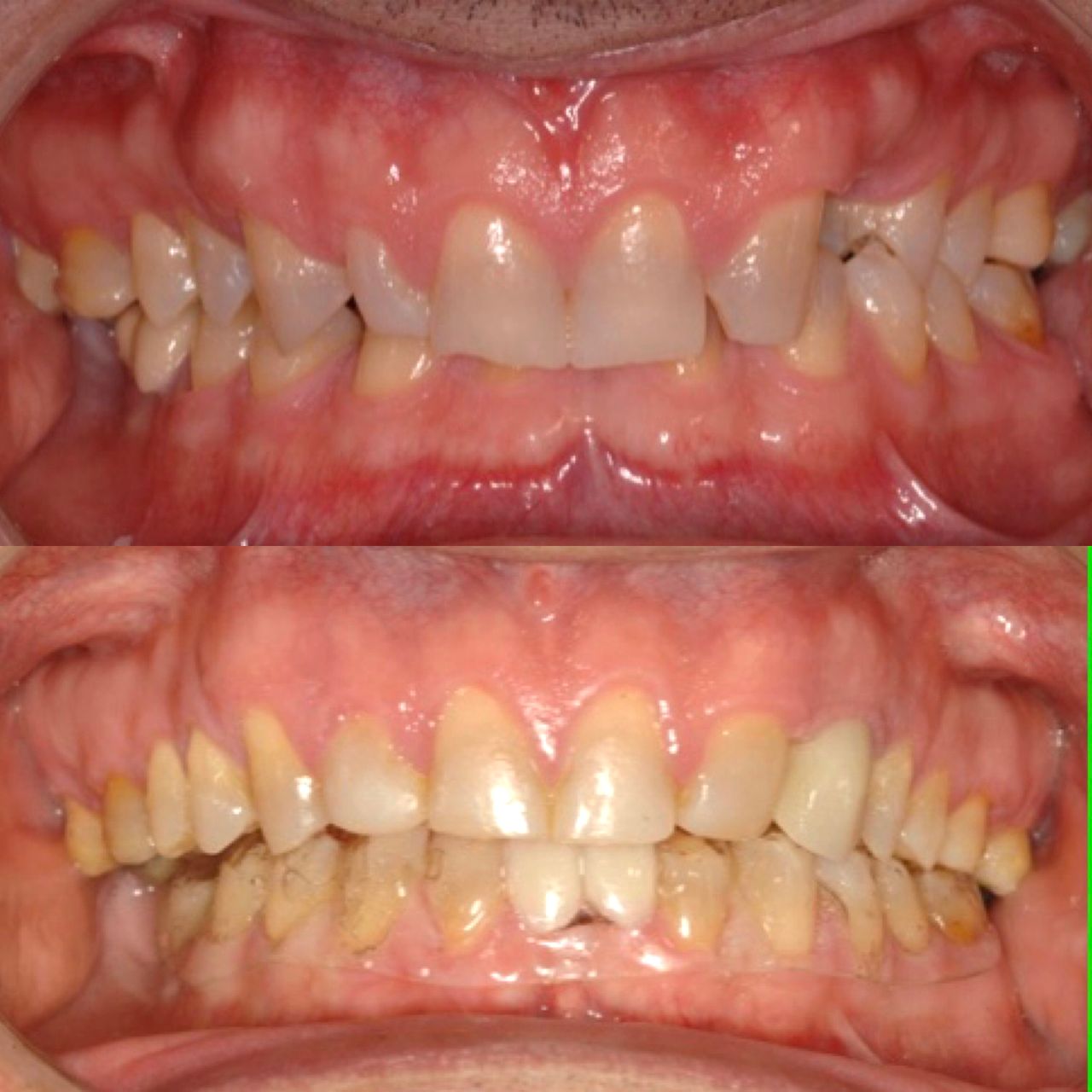
Fotos y vídeos

Logo
Dra. Carmen Anzalone

Avenida de España 64, San Sebastián de los Reyes 28701

La Dra. Carmela Anzalone es nuestra ortodoncista experta. Está especializada en diferentes tipos de ortodoncia, por lo que te recomendará el tratamiento que más se adecue a las necesidades de tu sonrisa.

08/11/2021

Servicios y precios

  • Primera Visita Ortodoncia


  • Primera visita Odontología

    Desde 0 €

  • Primera visita informativa gratuita

    Servicio gratuito

  • Blanqueamiento dental


  • Consulta ortodoncia


Consultas (3)

Ampliar se abre en una nueva pestaña
Clínica Infinity Dental

Avenida de España 64, San Sebastián de los Reyes 28701

Disponibilidad

Número de teléfono

917 37...
Ampliar se abre en una nueva pestaña
Ampliar se abre en una nueva pestaña
Centro Médico Cavanilles

C/Cavanilles, 25, local, Retiro, Madrid 28007

Disponibilidad

Número de teléfono

915 51...
Ampliar se abre en una nueva pestaña
Ampliar se abre en una nueva pestaña
Clínica Luque Márquez

Calle Huelva, 24, San Juan del Puerto 21610

Disponibilidad

Este especialista no ofrece reserva online en esta dirección

Ampliar se abre en una nueva pestaña

Aseguradoras aceptadas

Se aceptan aseguradoras, pero la cobertura varía según la ubicación y el servicio.

  • Adeslas
  • Asisa
  • Sanitas
  • DKV Seguros
  • Mapfre
+5 más

104 opiniones

Lo más mencionado por los pacientes

  • Dedicación durante la visita
  • Explicaciones detalladas
  • Eficacia del tratamiento
Todas las opiniones son importantes, por este motivo, los especialistas no pueden pagar para modificar o eliminar opiniones. Saber más. Más información sobre opiniones
  • N

    El tratamiento está funcionando 100%, todos en la clínica son muy majos, te explican todo muy bien y muy cuidadosos.

    • Dedicación durante la visita
    • Eficacia del tratamiento
     • Centro Médico Cavanilles Visita de revisión  • 

  • C

    Todo muy bien explicado, y muy rápido. Las instalaciones limpias, organizadas. La recepción de 10 también.

    • Dedicación durante la visita
    • Explicaciones detalladas
    • Eficacia del tratamiento
    • Instalaciones excelentes
    • Puntualidad
     • Centro Médico Cavanilles Visita de revisión  • 

  • M

    Muy buena profesional. Atenta y muy agradable.

    Un encanto

    • Dedicación durante la visita
    • Explicaciones detalladas
    • Eficacia del tratamiento
    • Instalaciones excelentes
    • Puntualidad
     • Centro Médico Cavanilles Otro  • 

  • C

    Una persona muy agradable, excelente trato al paciente.

    • Dedicación durante la visita
     • Centro Médico Cavanilles Visita de revisión  • 

  • B

    Maravillosa profesional. Precisa en su tarea. Es un valor seguro su punto de vista

    • Dedicación durante la visita
    • Explicaciones detalladas
    • Eficacia del tratamiento
    • Instalaciones excelentes
     • Centro Médico Cavanilles Visita de revisión  • 

  • M

    Todo correcto , nos ha citado dentro de 8 meses para ver evolución

    • Dedicación durante la visita
    • Explicaciones detalladas
     • Centro Médico Cavanilles Primera visita Odontología  • 

  • S

    Es por un tratamiento con invisilign. Al principio parecía que que iba bien, pero últimamente no está funcionando de forma adecuada y la doctora no te da explicaciones. Las férulas tardan muchísimo en llegar y la única opción que te da es que sigas con la última sin más. La verdad es que la situación me genera bastante ansiedad porque la última férula no se ajusta bien y no sé si es peor o mejor para mi dentadura. Muy decepcionante el trato.

    • Puntualidad
    • Falta de comunicación
    • Retraso en la visita
    • Falta de empatía
    • El tratamiento no me convenció
     • Centro Médico Cavanilles Visita de revisión  • 

  • L

    Nos ha atendido muy bien, cómo siempre, cariñosa y atenta con mi hijo Marco.

    • Dedicación durante la visita
    • Explicaciones detalladas
    • Eficacia del tratamiento
    • Instalaciones excelentes
     • Centro Médico Cavanilles Visita de revisión  • 

  • F

    Excelente atención y profesionalidad. Centro de total confianza.

    • Dedicación durante la visita
    • Explicaciones detalladas
    • Eficacia del tratamiento
    • Instalaciones excelentes
     • Centro Médico Cavanilles Visita de revisión  • 

  • B

    Como siempre muy profesional y cercana y muy contenta con mi tto

    • Dedicación durante la visita
    • Explicaciones detalladas
    • Eficacia del tratamiento
    • Instalaciones excelentes
    • Puntualidad
     • Centro Médico Cavanilles Visita de revisión  • 

Se ha producido un error, inténtalo de nuevo.

Preguntas frecuentes