Dra.
Laura Jareño Massagués
Dentista
·
Ver más
sobre las especializaciones
Reus 2 direcciones
Núm. Colegiado: 8159
159 opinionesExperiencia
Odontología contemporánea, mínimamente invasiva, con resultados predecibles.
Nos gusta hacer bien las cosas, no más barato.
Innovamos para acercar la odontología de calidad a las familias.
Aplicamos la máxima “que haría si fuera mi boca” en cada paciente.
Especialista en:
- Prótesis
- Odontología mínimamente invasiva
- Odontología estética
- Endodoncia
Principales enfermedades tratadas
- Bruxismo
- Enfermedad periodontal
- Caries
- Gingivitis
- Periodontitis
- +19 a11y_sr_more_diseases
Tipos de consulta
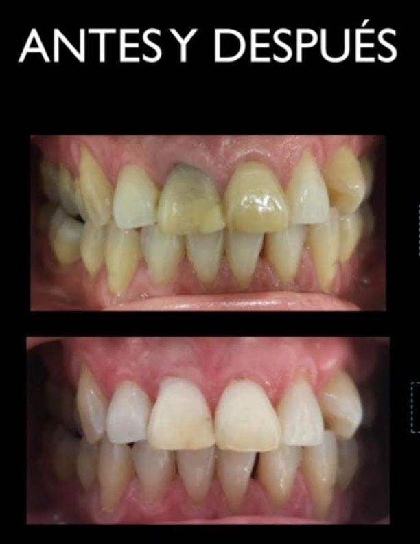
Fotos y vídeos
Servicios y precios
-
Primera visita Odontología
Desde 0 € -
-
Extracción de otras piezas dentarias
-
-
Reconstrucción dental
-
-
Prótesis sobre dientes naturales
-
-
Ortopantomografía
-
-
-
-
-
-
-
-
-
-
-
-
-
-
-
Consultas (2)
Raval de Robuster 28 bajo 2, Reus 43204
Disponibilidad
Número de teléfono
Avinguda de l'Alcalde Pere Molas 13 Local2 Bajos, Vila-Seca 43480
Disponibilidad
Este especialista no ofrece reserva online en esta dirección
Aseguradoras aceptadas
Se aceptan aseguradoras, pero la cobertura varía según la ubicación y el servicio.
-
Adeslas
-
Asisa
-
DKV Seguros
-
Agrupación Mutua
-
Axa
Opiniones
159 opiniones
Lo más mencionado por los pacientes
- Dedicación durante la visita
- Explicaciones detalladas
- Eficacia del tratamiento
-
E
Eduard Martínez Clusella
Un trabajo excelente, los empastes me los dejo en un momento listos, y la atención que me dio muy agradable
- Dedicación durante la visita
• Clínica Dental Mediterránea Reus • Empaste dental •
-
E
Ester
Muy atenta y lo ha explicado fenomenal.
Trato cercano.- Dedicación durante la visita
- Explicaciones detalladas
- Eficacia del tratamiento
• Clínica Dental Mediterránea Reus • Primera visita Odontología •
-
J
Jasmine Ojedq
Gracias Laura por ser tan profesional y honesta. Gracias por dar ese plus de calidad en trabajo y calidad humana.
- Dedicación durante la visita
- Explicaciones detalladas
- Eficacia del tratamiento
• Clínica Dental Mediterránea Reus • Otro •
-
S
Stefan Vida
La doctora es una excelente profesional .atenta cercana y muy clara en sus explicaciones. Sin duda .la recomiendo totalmente.
Gracias.Dr.Laura..- Explicaciones detalladas
• Clínica Dental Mediterránea Reus • Otro •
-
S
S.S.F
Muy amable y sobretodo una gran profesional. Hace que lo malo de ir al dentista sea llevadero.
- Dedicación durante la visita
- Explicaciones detalladas
- Eficacia del tratamiento
- Instalaciones excelentes
- Puntualidad
• Clínica Dental Mediterránea Reus • Extracción de otras piezas dentarias •
-
S
Saray
Es la mejor dentista que ha pasado por la clínica sinceramente. Muy simpática y eficacia en su trabajó. He quedado contenta con su atención.
- Eficacia del tratamiento
• Clínica Dental Mediterránea Reus • Otro •
-
S
S.D
Muy amable y profesional , mi hija de 3 años estuvo muy tranquila durante el tratamiento , explicándole en cada momento.
- Dedicación durante la visita
- Explicaciones detalladas
- Eficacia del tratamiento
• Clínica Dental Mediterránea Reus • Odontología Infantil / Odontopediatría •
-
I
Inés Valera Gilabert
He acudido por primera vez a esta clínica dental y la experiencia ha sido excelente. El trato ha sido muy cercano y profesional desde el primer momento. Me han explicado todo de forma clara y detallada, resolviendo todas mis dudas.
Además, el presupuesto ha sido adaptado tanto a mis necesidades médicas como a mi situación económica, algo que valoro mucho. Se nota que buscan la mejor solución para el paciente.
Sin duda, una clínica muy recomendable por su profesionalidad, la atención recibida y la confianza que transmiten.- Dedicación durante la visita
- Explicaciones detalladas
- Eficacia del tratamiento
- Instalaciones excelentes
- Puntualidad
• Clínica Dental Mediterránea Reus • Primera visita Odontología •
-
Y
Yolanda moreno
Es la primera vez que me visitan aquí en esta clínica y la verdad que he salido muy contenta me ha gustado mucho como la chica ha tenido la dedicación de estar y explicármelo todo muy bien volveré
- Explicaciones detalladas
• Clínica Dental Mediterránea Reus • Primera visita Odontología •
-
J
J.b
Muy buena atención muy atenta y profesional me sentí muy cómodo ..
- Eficacia del tratamiento
• Clínica Dental Mediterránea Reus • Higiene dental •
Preguntas frecuentes
-
¿Cuáles son las principales especialidades de Laura Jareño Massagués?Laura Jareño Massagués es dentista. Te mostramos algunos de los servicios que ofrece gracias a su trayectoria y amplia experiencia: Primera visita Odontología, Ortodoncia, Odontología estética, Servicio integral odontología, Primera visita Odontología Pediátrica, Carillas dentales, Higiene dental, Odontología Infantil / Odontopediatría, Carillas de composite, Carillas de porcelana.
-
¿Dónde está la consulta de Laura Jareño Massagués?Laura Jareño Massagués atiende a sus pacientes en:
- Raval de Robuster 28 bajo 2 Reus
- Avinguda de l'Alcalde Pere Molas 13 Local2 Bajos Vila-Seca
-
¿Puedo hacer la visita con Laura Jareño Massagués de forma online, sin tener que desplazarme hasta su consulta?No, por el momento Laura Jareño Massagués no ofrece consulta online.
-
¿Cómo se realiza el pago a Laura Jareño Massagués al finalizar la visita?Laura Jareño Massagués acepta los siguientes métodos de pago: Efectivo, Tarjeta de crédito, Transferencia bancaria, Financiación.
-
¿Qué idiomas habla Laura Jareño Massagués?Puedes comunicarte con Laura Jareño Massagués en Español, Catalán, Inglés.
-
¿Cómo puedo reservar una cita con Laura Jareño Massagués?El calendario que muestra Laura Jareño Massagués en Doctoralia está actualizado en tiempo real, por lo que solo tienes que elegir qué día y hora te va mejor de entre las disponibles. La reserva es gratuita, y además recibes un recordatorio antes de la visita.
-
¿Para cuándo podría visitarme con Laura Jareño Massagués?Ahora mismo Laura Jareño Massagués no tiene horas disponibles, ya que su agenda está llena para las próximas semanas. Te recomendamos contactarte con Laura Jareño Massagués por si se libera algún espacio o si deseas pedir una cita para más adelante.
-
¿Qué opinan los pacientes de Laura Jareño Massagués?Un total de 159 pacientes han querido dejar una opinión sincera y real sobre Laura Jareño Massagués, otorgándole además una valoración media de 5 estrellas (sobre un máximo de 5).
-
¿Qué aseguradoras acepta Laura Jareño Massagués?Te mostramos algunas de las aseguradoras que acepta Laura Jareño Massagués: Adeslas, Asisa, DKV Seguros, Agrupación Mutua, Axa, HNA - Hermandad Arquitectos, Generali Seguros, Cosalud. Comprueba el listado completo de las aseguradoras que acepta para ver si también incluye la tuya.