Experiencia
Graduado por la Universidad De Santiago de Compostela como odontólogo, siempre he sentido atracción por la persecución de la belleza; es por ello que he realizado innumerables cursos de infiltraciones, rellenos y armonización facial además de un posgrado de odontología estética en la Universidad Nebrija. Tengo muy claro el tipo de profesional que quiero ser tras estos años de experiencia: uno que está a la altura, que empatiza, que se detiene el tiempo que sea necesario para que el paciente procese, asimile y tome las decisiones adecuadas respecto a su salud y estética.
Especialista en:
- Odontología estética
Principales enfermedades tratadas
- Absceso dental
- Alveolitis
- Amelogénesis imperfecta
- Bruxismo
- Caries
- +31 a11y_sr_more_diseases
Pacientes que atiendo
Tipos de consulta
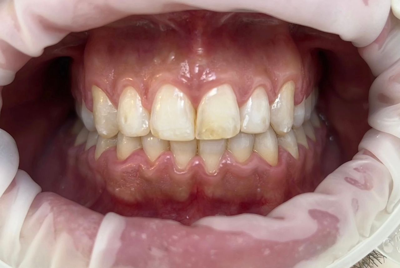
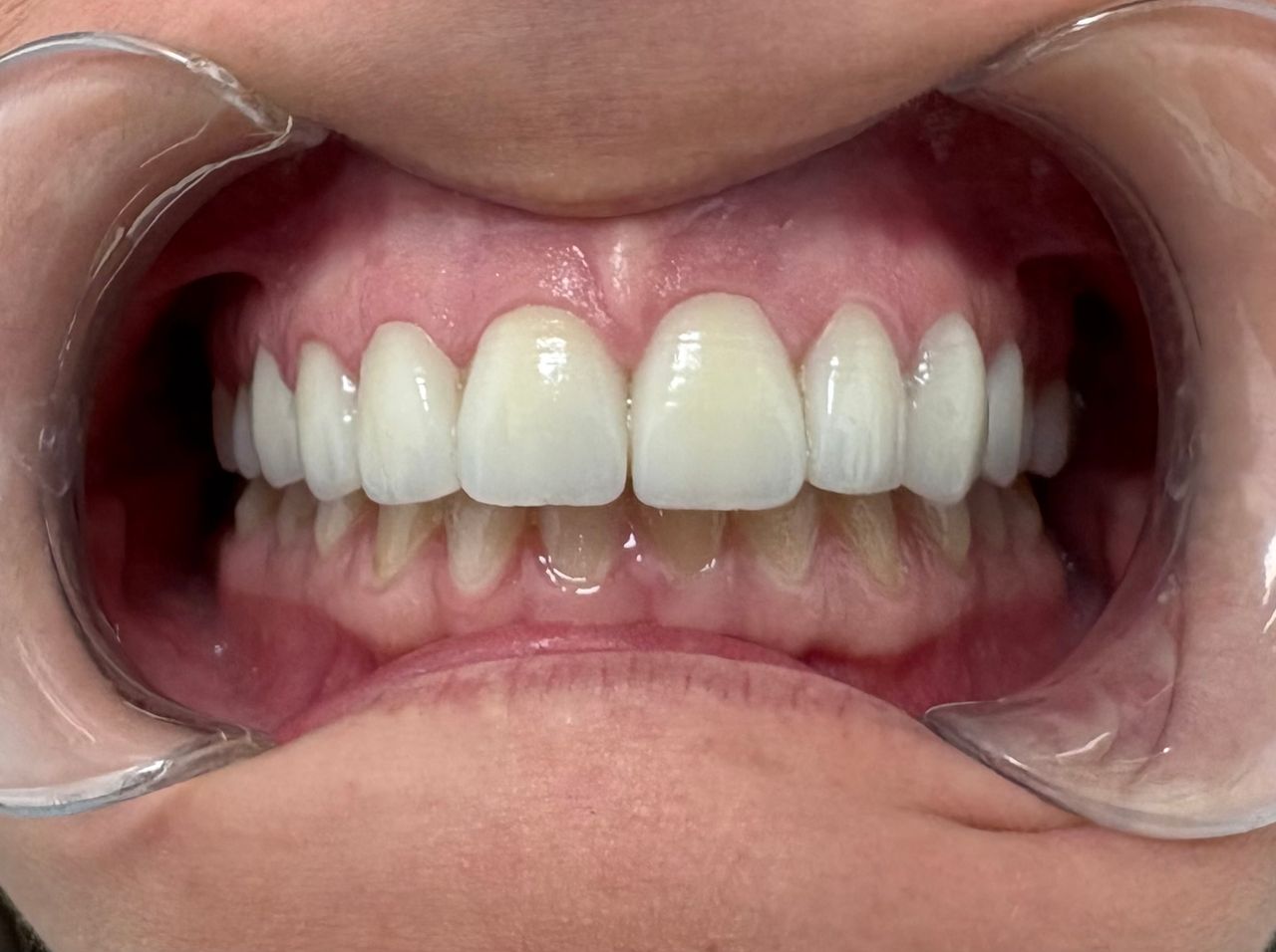
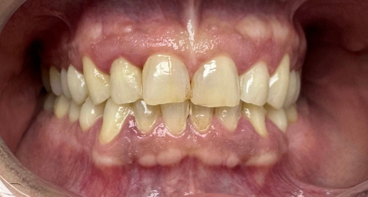
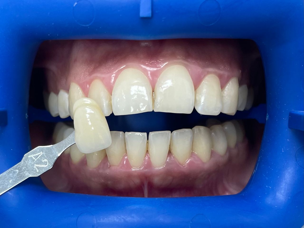
Fotos y vídeos
No se aceptan aseguradoras
Este especialista solo acepta pacientes privados. Puedes pagar la cita de forma privada, o buscar otro especialista que acepte tu aseguradora.
Consulta
Calle Bravo Murillo 50 1D, Chamberí, Madrid 28003
Disponibilidad
Pago online
Aceptado
Número de teléfono
Servicios y precios
-
Primera visita Odontología
-
-
Curetaje dental
28 € -
-
Tratamiento para apnea del sueño
990 € -
-
Primera consulta de valoración
Desde 49,95 € -
-
Ortopantomografía
55 € -
-
-
-
-
-
-
-
-
-
-
-
-
-
-
-
-
-
-
-
-
-
-
-
-
-
-
-
-
-
-
Opiniones
17 opiniones
-
E
Esther De Dios
Ante todo el trato es exquisito, gran profesional, explica de forma muy sencilla el tratamiento y las pautas a seguir una vez realizado, por supuesto volveré, referente como Clínica Estética. Un placer siempre
• Clínica BM50 • Tratamiento HydraFacial •
Unidad de Cirugía y Medicina Estética BM50
Muchas gracias por tu comentario, querida Esther. Alegras nuestro día simplemente con ver tu nombre en la agenda porque sabemos que vendrás llena de energía y nos divertiremos trabajando. Un abrazo enorme!
-
M
Marcos S.
Fue una experiencia muy buena, voy a repetir en más ocasiones. Sin duda lo recomiendo 100%
• Clínica BM50 • Blanqueamiento dental •
Unidad de Cirugía y Medicina Estética BM50
Gracias por tus palabras, querido Marcos, las apreciamos muchísimo! Nos vemos en tu próxima cita.
-
M
Mg
Maravilloso todo el equipo
Muy atentos , amables y profesionales• Clínica BM50 • Otro •
Unidad de Cirugía y Medicina Estética BM50
Muchas gracias por tus palabras, nos vemos en tu próxima cita!
-
I
ICP
Muy amable todo el tratamiento, tranquilizador y explicando todo lo que se realizaba.
• Clínica BM50 • Otro •
Unidad de Cirugía y Medicina Estética BM50
Un placer tratar a pacientes tan encantadores como tú, nos vemos en la próxima cita!
-
L
Luis
Un excelente trabajo y muy buenos profesionales estoy muy feliz con mi tratamiento
• Clínica BM50 • Limpieza facial (dermoabrasión, radiofrecuencia facial y otros) •
Unidad de Cirugía y Medicina Estética BM50
Muchas gracias por tu reseña. Nos alegra mucho saber que tu experiencia ha sido positiva. Seguiremos trabajando con la misma dedicación para ofrecer siempre la mejor atención. ¡Te esperamos en tu próxima visita!
-
C
Christian
Muy buena atención y profesionalidad. Volveré seguro.
• Clínica BM50 • Primera visita Odontología •
Unidad de Cirugía y Medicina Estética BM50
¡Muchas gracias por tu valoración! Nos alegra saber que te has sentido bien atendido y con confianza. Aquí estaremos siempre que lo necesites.
-
J
Juanma
Excelente profesional! Explica cada procedimiento con claridad, transmite confianza y se nota que le gusta su trabajo! Muy recomendable!
• Clínica BM50 • Blanqueamiento dental •
Unidad de Cirugía y Medicina Estética BM50
¡Gracias, Juanma! Para nosotros es fundamental que cada paciente entienda su tratamiento y se sienta seguro en todo momento. Un placer atenderte y verte satisfecho con el resultado.
-
R
Raquel de Sousa
Excelente odontólogo. Muy profesional, atento y con una gran dedicación a sus pacientes. Explica cada procedimiento con claridad, transmite mucha confianza y se nota que disfruta de su trabajo.
Además, el trato es impecable: cercano, amable y siempre pendiente de que estés cómoda.
Sin duda, totalmente recomendable.• Clínica BM50 • Primera visita Odontología •
Unidad de Cirugía y Medicina Estética BM50
Muchísimas gracias, Raquel Tu confianza y tus palabras nos motivan a seguir dando lo mejor de nosotros cada día. Nos encanta que valores la dedicación y el trato cercano, porque lo hacemos con mucho cariño. ¡Un placer tenerte como paciente!
-
C
Carlos Estévez Torres
Tanto el tratamiento en la clínica, como el acompañamiento recibido ha sido de 10.
Quiero agradecer especialmente a César, por su profesionalidad, cercanía y por una dedicación que marcaron toda la diferencia.
El resultado del tratamiento ha sido excelente y la atención, inmejorable. Sin duda lo recomiendo al 100%.• Clínica BM50 • Blanqueamiento dental •
Unidad de Cirugía y Medicina Estética BM50
Carlos! Qué alegría ver que nuestra dedicación vale la pena por pacientes como tú! Muchísimas gracias, nos vemos en la próxima cita!
-
R
Rafa Gallardo
César es el mejor dentista que me ha tratado. Desde el primer momento confié en él, me hizo sentir cómodo y me resolvió todas las dudas. Ha sido el único que ha conseguido quitarme mi complejo y le estoy súper agradecido. Donde vaya él iré yo.
• Clínica BM50 • Empaste dental •
Unidad de Cirugía y Medicina Estética BM50
Muchísimas gracias, Rafa! Eres un paciente muy especial para LDH, siempre estamos encantados de recibirte y atenderte con mucho cariño. Nos vemos en tu próxima cita.
Preguntas frecuentes
-
¿Cuáles son las principales especialidades de César Buján Riveiro?César Buján Riveiro es dentista. Te mostramos algunos de los servicios que ofrece gracias a su trayectoria y amplia experiencia: Primera visita Odontología, Primera consulta de valoración, Blanqueamiento dental, Aumento de labios con ácido hialurónico, Apicectomía, Empaste dental, Coronas Metal Porcelana, Exodoncia, Extracción dental, Tratamiento para apnea del sueño.
-
¿Dónde está la consulta de César Buján Riveiro?César Buján Riveiro atiende a sus pacientes en:
- Calle Bravo Murillo 50 1D Madrid
-
¿Puedo hacer la visita con César Buján Riveiro de forma online, sin tener que desplazarme hasta su consulta?No, por el momento César Buján Riveiro no ofrece consulta online.
-
¿Cómo se realiza el pago a César Buján Riveiro al finalizar la visita?César Buján Riveiro acepta los siguientes métodos de pago: Efectivo, Tarjeta de crédito, Transferencia bancaria, Paypal, Bizum.
-
¿Qué idiomas habla César Buján Riveiro?Puedes comunicarte con César Buján Riveiro en Español, Francés, Gallego, Inglés, Portugués.
-
¿Cómo puedo reservar una cita con César Buján Riveiro?El calendario que muestra César Buján Riveiro en Doctoralia está actualizado en tiempo real, por lo que solo tienes que elegir qué día y hora te va mejor de entre las disponibles. La reserva es gratuita, y además recibes un recordatorio antes de la visita.
-
¿Para cuándo podría visitarme con César Buján Riveiro?A veces César Buján Riveiro tiene algunas horas disponibles dentro de la misma semana o para la siguiente. Consulta su calendario: verás la primera hora que tiene disponible, ya que se actualiza en tiempo real. Si no te va bien esa primera hora, comprueba otros días. La reserva siempre es inmediata y gratuita.
-
¿Qué opinan los pacientes de César Buján Riveiro?Un total de 17 pacientes han querido dejar una opinión sincera y real sobre César Buján Riveiro, otorgándole además una valoración media de 5 estrellas (sobre un máximo de 5).
-
¿Qué aseguradoras acepta César Buján Riveiro?César Buján Riveiro no acepta aseguradoras, sólo pacientes privados. Te recomendamos que, en caso de duda, te pongas en contacto con el especialista.