Experiencia
Especialista en:
- Odontología general
- Implantología
- Ortodoncia
- Carillas
Principales enfermedades tratadas
- Bruxismo
- Enfermedad periodontal
- Caries
- Gingivitis
- Periodontitis
- +6 a11y_sr_more_diseases
Pacientes que atiendo
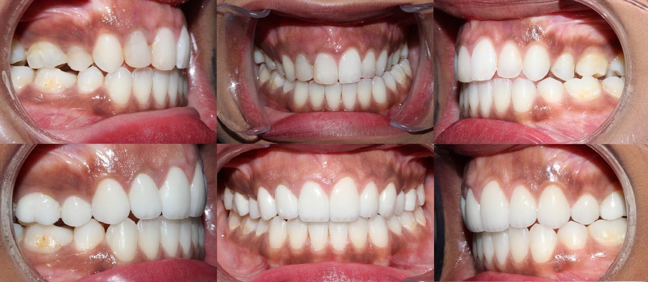
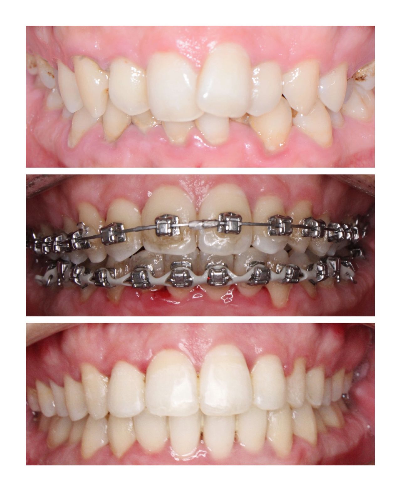
Fotos y vídeos
No se aceptan aseguradoras
Este especialista solo acepta pacientes privados. Puedes pagar la cita de forma privada, o buscar otro especialista que acepte tu aseguradora.
Consultas (3)
Calle de Fernández de los Ríos 100, Madrid 28015
Disponibilidad
Número de teléfono
Disponibilidad
Número de teléfono
Calle de Fernández de los Ríos 100, Madrid 28015
Disponibilidad
Número de teléfono
Servicios y precios
-
Consulta online
60 € -
-
Férula de descarga
Desde 100 € -
-
Reconstrucción dental
Desde 60 € -
-
Prótesis dentales
Desde 0 € -
-
Prótesis dental removible
Desde 0 € -
-
-
-
-
-
-
-
-
-
-
-
-
-
-
-
-
-
-
-
-
-
-
-
-
-
-
Artículos
Dientes apiñados
Los dientes apiñados, se podrían describir como un mal posicionamiento de los dientes tanto con sus dientes vecinos como la mala relación entre las dos arcadas. La detección tardía y la no aplicación de un tratamiento para el apiñamiento dentario podría agravar la situación e incluso provocar efectos indeseados en los tejidos blandos (mejillas, labios, mentón y el perfil de la cara). Existen diferente tratamientos de Ortodoncia, desde el convencional de brackets metálicos a los alineadores transparentes con estudios y planificación 3D Los malos hábitos y la inadecuada respiración en niños son los causantes principales del apiñamiento dentario la detección temprana en niños es fundamental.
Enfermedad periodontal
Uno de los síntomas más comunes para reconocer la enfermedad periodontal (gingivitis) es la inflamación y el sangrado de las encías, pero para algunas personas, sobre todo para los fumadores, esta señal no siempre aparece tan visible. Al notar molestias, sensibilidad e incluso un color diferente en las encías es muy importante acudir a tu dentista, pues no tratar la enfermedad periodontal a tiempo puede traer muy serias consecuencias a la dentadura incluyendo la perdida de los dientes.
Caries
El tejido de los dientes puede destruirse cuando la placa depositada en la superficie se acumula, produciendo ácidos que atacan el esmalte y terminan creando orificios en los dientes (a lo que llamamos caries). Por lo general, esto no causa dolor a menos que se tornen muy grandes. Cuando esto sucede, pueden afectar los nervios e incluso causa una fractura del diente lo que sin tratamiento, llega a un absceso dental. No solamente los restos de comida generan la Placa dental, otras bacterias presentes en nuestra boca e incluso en nuestra saliva se acumulan en los dientes y tienen el mismo efecto. Es importante que eliminemos la placa cada cierto tiempo, visitando a tu dentista.
Bruxismo
Las causas del Bruxismo, pueden ser diversas y aunque no es la principal, el estrés juega un papel muy importante. Incluso, el uso de sustancias psicoactivas (como el tabaco, alcohol, cafeína o medicamentos para el sueño, la depresión y la ansiedad) también han mostrado tener bastante relación. Esto implica que a pesar de existir tratamientos dentales dedicados exclusivamente a detener el desgaste de la dentadura así como a mejorar las interferencias oclusales( Ortodoncia o rehabilitación oral protesica) es de vital importancia mirar al estilo de vida del paciente para obtener verdaderos cambios.
Opiniones
225 opiniones
-
C
Camino
El doctor Valid me ha parecido un excelente profesional que trata cada pieza dental con el máximo cuidado.
Es también una persona encantadora que me ha dedicado el tiempo necesario para explicarme cada paso del tratamiento de manera clara y detallada, asegurándose de que lo entendía todo. Genera tanta tranquilidad y confianza que en todo momento he sentido que estaba en buenas manos.• Dr. Valid Man Especialidades Odontológicas • Visita Odontología •
-
Y
Yorssyvict Ramirez
Excelente atención muy profesionales desde la recepcionista las asistente dental y el Dr Valid excelente profesional estoy muy satisfecho con su trabajo, me está haciendo restauraciones de algunas amalgamas viejas y tambien ordoncia solo en la parte de abajo y todo v quedado perfecto aun nos falta para culminar todo el tratamiento pero me siento satisfecha con su trabajo y profesionalidad a parte que es súper amable y simpático. La puntualidad sin falta y si ocurre algo rápidamente te cambian la consulta p otro dia sin inconvenientes. Los recomiendo al 100%
• Dr. Valid Man Especialidades Odontológicas • Visita Odontología •
Dr. Valid Man
Muchísimas gracias por tomarte el tiempo de dejarnos este mensaje. Nos encanta saber que estás satisfecha y a gusto con nuestro trabajo. Tú también eres una gran paciente
-
G
Gio
Trato agradable, respetuoso Super atento es un un trato cercano,
• Dr. Valid Man Especialidades Odontológicas • Visita Odontología •
Dr. Valid Man
Muchas gracias por tu mensaje, nos gusta tener feedback de nuestros pacientes para mejorar cada día.
-
I
Inmaculada
Me resulta amable y eficiente. Te sientes bien atendido.
• Dr. Valid Man Especialidades Odontológicas • Reconstrucción dental •
Dr. Valid Man
Muchísimas gracias por su comentario. Lo valoramos mucho.
-
C
Carmina
Muy bien gracias ha sido muy agradable y útil yrevelador
• Dr. Valid Man Especialidades Odontológicas • Visita Odontología •
Dr. Valid Man
Muchas gracias por su comentario. La esperamos siempre que lo necesite.
-
J
JOSÉ IGNACIO MINGUGEZ CRESPO
Entendiendo que ir al dentista no suele ser plato de buen gusto para nadie, pero la verdad es que la profesionalidad demostrada por el doctor y su equipo incluso me provocó cierta tranquilidad y relajación.
• Dr. Valid Man Especialidades Odontológicas • Reconstrucción dental •
Dr. Valid Man
José Ignacio, muchísimas gracias por su valoración. De corazón agradecemos tan lindo mensaje. Lo esperamos de vuelta cada vez que necesite. Un abrazo.
-
F
F/T
Atención prestada muy excelente equipo de trabajo muy profesional
• Dr. Valid Man Especialidades Odontológicas • Primera Visita Ortodoncia •
Dr. Valid Man
Muchísimas gracias por tu mensaje, valoramos que te tomes el tiempo de calificar nuestro trabajo.
-
A
Alfonso Q.
Sin duda alguna el dentista más profesional al que he acudido, destaca la vocación y la importancia que le da a que el paciente se mejore! Mil gracias!
• Dr. Valid Man Especialidades Odontológicas • Curetaje dental •
Dr. Valid Man
Gracias a ti por elegirnos y por tomarte el tiempo de dejarnos este comentario. Lo valoramos mucho!
-
A
AL
Fui por una microrestauración de un diente y el tratamiento que me hizo fue espectacular. El diente me quedó como nuevo, natural, como si no hubiese sufrido ningún problema. Además fue rápido y el precio muy razonable. Lo recomiendo a todo el mundo.
• Dr. Valid Man Especialidades Odontológicas • Otro •
Dr. Valid Man
Muchísimas gracias por tomarte el tiempo de dejarnos tu valoración. Estamos muy agradecidos por tu preferencia.
-
L
Luis José Reyes
Muy profesional, consulta de revisión completa, descripción del diagnóstico al momento y programa de reparación! Un 100/100
• Dr. Valid Man Especialidades Odontológicas • Visita Odontología •
Dr. Valid Man
Muchísimas gracias por tus palabras Luis. Estamos agradecidos por preferirnos.
Dudas solucionadas
8 dudas solucionadas a pacientes en Doctoralia
Como se puede saber si la enfermedad periodontal está activa?
El sangrado y el mal sabor de boca podrían ser síntomas de una afección periodontal pero en ocasiones puede estar activa una periodontitis sin tener ninguna de estas afecciones( estar activa y oculta) además la retracción de la encía dejando expuesta La raíz es una signo visible que pueda alertar. Acude al dentista para valorar y detener el avance. Recuerda que esta enfermedad es crónica y avanza con el tiempo.
Buenas tardes. Tengo una muela muy picada y me sale sangre en algunas ocasiones . Y a veces me duele como aveces no. Que puedo hacer o tomar? Gracias
Según lo que describes podríamos estar ante 2 situaciones distintas
1- que tengas un caries( picada) y debes realizar un empaste si no hubiese afección del nervio
2- que tengas una gingivitis que esté o accionando el sangrado y debes realizar o una limpieza profunda o un curetaje . En ambas situaciones es importante que acudas al dentista para evitar males mayores
Todos los contenidos publicados en Doctoralia, especialmente preguntas y respuestas, son de carácter informativo y en ningún caso deben considerarse un sustituto de un asesoramiento médico.
Preguntas frecuentes
-
¿Cuáles son las principales especialidades de Valid Man?Valid Man es dentista. Te mostramos algunos de los servicios que ofrece gracias a su trayectoria y amplia experiencia: Urgencias odontológicas, Blanqueamiento dental, Carillas de composite, Cirugía oral, Carillas de porcelana, Curetaje dental, Empaste dental, Endodoncia, Exodoncia, Extracción de cordal incluido.
-
¿Dónde está la consulta de Valid Man?Valid Man atiende a sus pacientes en:
- Calle de Fernández de los Ríos 100 Madrid
- Calle de Fernández de los Ríos 100 Madrid
-
¿Puedo hacer la visita con Valid Man de forma online, sin tener que desplazarme hasta su consulta?Sí, Valid Man ofrece consulta de forma remota. Solo tienes que seleccionar "consulta online" cuando vayas a reservar cita desde el calendario, y así podrás ver las fechas y horas disponibles.
-
¿Cómo se realiza el pago a Valid Man al finalizar la visita?Valid Man acepta los siguientes métodos de pago: Efectivo, Tarjeta de crédito, Transferencia bancaria, Bizum, Financiación.
-
¿Qué idiomas habla Valid Man?Puedes comunicarte con Valid Man en Español, Inglés, Árabe.
-
¿Cómo puedo reservar una cita con Valid Man?El calendario que muestra Valid Man en Doctoralia está actualizado en tiempo real, por lo que solo tienes que elegir qué día y hora te va mejor de entre las disponibles. La reserva es gratuita, y además recibes un recordatorio antes de la visita.
-
¿Para cuándo podría visitarme con Valid Man?A veces Valid Man tiene algunas horas disponibles dentro de la misma semana o para la siguiente. Consulta su calendario: verás la primera hora que tiene disponible, ya que se actualiza en tiempo real. Si no te va bien esa primera hora, comprueba otros días. La reserva siempre es inmediata y gratuita.
-
¿Qué opinan los pacientes de Valid Man?Un total de 225 pacientes han querido dejar una opinión sincera y real sobre Valid Man, otorgándole además una valoración media de 5 estrellas (sobre un máximo de 5).
-
¿Qué aseguradoras acepta Valid Man?Valid Man no acepta aseguradoras, sólo pacientes privados. Te recomendamos que, en caso de duda, te pongas en contacto con el especialista.