Experiencia
Su enfoque está centrado en el paciente, ofreciendo planes de tratamiento individualizados que se adaptan a las necesidades y objetivos específicos de cada persona.
Áreas de Especialización:
Tratamientos de ortodoncia para niños, adolescentes y adultos.
Brackets metálicos y estéticos.
Ortodoncia invisible (Alineadores).
Corrección de maloclusiones y problemas de mordida.
Tratamientos preventivos y de mantenimiento.
Terapia de ortopedia dentofacial (niños).
Especialista en:
- Ortodoncia
- Ortodoncia invisible
- Ortopedia dentofacial
Principales enfermedades tratadas
- Mordida abierta
- Oclusión dental defectuosa
- Sobremordida
- Diente retenido
- Dientes apiñados
- +21 a11y_sr_more_diseases
Pacientes que atiendo
Tipos de consulta
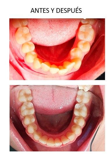
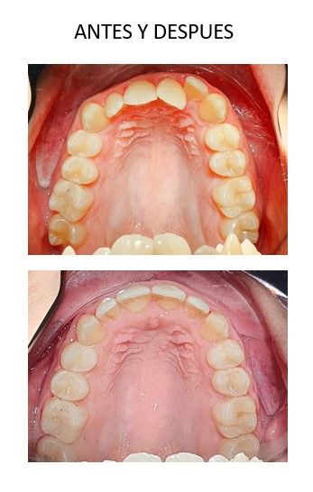
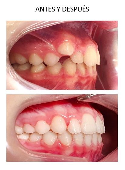
Fotos y vídeos
Servicios y precios
-
Primera visita informativa gratuita
Servicio gratuito -
-
Visitas sucesivas Odontología
-
-
Consulta ortodoncia
Servicio gratuito -
-
Estudio de Ortodoncia
-
-
Limpieza dental
Desde 50 € -
-
-
-
-
-
-
-
-
-
-
Consulta
Calle de Villamanín 46, Ciudad Lineal, Madrid 28011
Disponibilidad
Número de teléfono
No se aceptan aseguradoras
Este especialista solo acepta pacientes privados. Puedes pagar la cita de forma privada, o buscar otro especialista que acepte tu aseguradora.
Opiniones
23 opiniones
-
S
Sara
Excelente Me encantó la atención y el trato de la Dra. Carolina, satisfecha con el resultado, Muy profesional y con un ambiente muy acogedor. ¡Gracias por todo!"
• Clínica Dental • Visita de tratamiento •
-
K
KV
Dedicada, atenta, profesional. Muy contenta con el servicio.
• Clínica Dental • Ortodoncia para adultos •
-
K
Kency Castro
Estoy en tratamiento de ortodoncia con la doctora Carolina y no puedo estar más contenta con los resultados y con su atención es una profesional muy cuidadosa, explica todo con paciencia y siempre se asegura de que el tratamiento avance bien además, transmite mucha confianza y amabilidad en cada visita
¡La recomiendo totalmente!• Clínica Dental • Ortodoncia para adultos •
-
J
JOHANN
Excelente servicio instalaciones excelentes también
• Clínica Dental • Ortodoncia para adultos •
-
J
J C
Buen servicio y muy amable me antendieron muy bien
• Clínica Dental • Ortodoncia para adultos •
-
J
Jesús Ramírez
La chica pues sabe hacer su trabajo, se la recomendé a un amigo y dice lo mismo así que nada se las recomiendo a vosotros también los que veáis este comentario, es agradable, atenta con tus citas de revisiones y todas las cosas, trabaja con delicadeza nuevamente cada que voy salgo contento con ganas de volver a ir a las revisiones dentales así que nada se las recomiendo
• Clínica Dental • Visita de revisión •
-
E
Eduard
Excelente servicio de ortodoncia y muy eficiente..
• Clínica Dental • Visita de tratamiento •
-
J
JUAN
todo muy bien, una bella persona ! y excelente profesional.
• Clínica Dental • Primera visita informativa gratuita •
-
J
Jose Montoya
La clínica está muy limpia y me atendieron muy bien. La Dra fue muy amable y me respondió todas mis preguntas sin apuro. El servicio me gustó.
• Clínica Dental • Primera visita informativa gratuita •
-
A
Alam
Muy delicada y amable, el trato y su Forma en que me a tratado es excelente
• Clínica Dental • •
Dra. Carolina Esqueda
¡Hola Alam!
Agradezco mucho tu valoración positiva, estoy contenta de poder acompañarte durante el tratamiento de ortodoncia.
Valoro tu confianza y me esforzare al máximo para que sea una experiencia positiva y exitosa.
Saludos y feliz día.
Dudas solucionadas
4 dudas solucionadas a pacientes en Doctoralia
Hola. Es normal que durante el tratamiento con brackets en las muelas superiores no pueda cerrar completamente la mordida? Siento como que la mordida no encaja perfectamente y queda alta y una presion en las muelas con brackets. Es normal? Muchas gracias.
Buenas tardes, a veces durante el tratamiento de ortodoncia se realizan mecánicas que son incomodas para poder llegar al objetivo final, es decir, una correcta mordida. Sugiero que manifiestes la duda a tu ortodoncista para que te explique por qué en este momento no puedes cerrar bien. Un saludo.
Hola me hicieron las contenciones removibles de plastico pero las de abajo no me cubre hasta la encia como la contencion de arriba no afecta en nada ?
Basta que cubra al principio de los dientes, no se moveran ?
Hola, buenas tardes,
Con solo cubrir los dientes hay buena retención, no se moverán los dientes.
Todos los contenidos publicados en Doctoralia, especialmente preguntas y respuestas, son de carácter informativo y en ningún caso deben considerarse un sustituto de un asesoramiento médico.
Preguntas frecuentes
-
¿Cuáles son las principales especialidades de Carolina Esqueda?Carolina Esqueda es dentista. Te mostramos algunos de los servicios que ofrece gracias a su trayectoria y amplia experiencia: Ortodoncia Invisalign, Ortodoncia para adultos, Ortodoncia infantil, Visitas sucesivas Odontología, Primera visita informativa gratuita, Visita de tratamiento, Visita de revisión, Limpieza dental, Primera visita limpieza dental, Consulta ortodoncia.
-
¿Dónde está la consulta de Carolina Esqueda?Carolina Esqueda atiende a sus pacientes en:
- Calle de Villamanín 46 Madrid
-
¿Puedo hacer la visita con Carolina Esqueda de forma online, sin tener que desplazarme hasta su consulta?No, por el momento Carolina Esqueda no ofrece consulta online.
-
¿Cómo se realiza el pago a Carolina Esqueda al finalizar la visita?Carolina Esqueda acepta los siguientes métodos de pago: Efectivo, Tarjeta de crédito, Transferencia bancaria, Bizum.
-
¿Qué idiomas habla Carolina Esqueda?Puedes comunicarte con Carolina Esqueda en Español, Inglés.
-
¿Cómo puedo reservar una cita con Carolina Esqueda?El calendario que muestra Carolina Esqueda en Doctoralia está actualizado en tiempo real, por lo que solo tienes que elegir qué día y hora te va mejor de entre las disponibles. La reserva es gratuita, y además recibes un recordatorio antes de la visita.
-
¿Para cuándo podría visitarme con Carolina Esqueda?A veces Carolina Esqueda tiene algunas horas disponibles dentro de la misma semana o para la siguiente. Consulta su calendario: verás la primera hora que tiene disponible, ya que se actualiza en tiempo real. Si no te va bien esa primera hora, comprueba otros días. La reserva siempre es inmediata y gratuita.
-
¿Qué opinan los pacientes de Carolina Esqueda?Un total de 23 pacientes han querido dejar una opinión sincera y real sobre Carolina Esqueda, otorgándole además una valoración media de 5 estrellas (sobre un máximo de 5).
-
¿Qué aseguradoras acepta Carolina Esqueda?Carolina Esqueda no acepta aseguradoras, sólo pacientes privados. Te recomendamos que, en caso de duda, te pongas en contacto con el especialista.